御茶ノ水で歯医者をお探しなら、抜かない治療で評判の

ホワイトエッセンス
御茶ノ水デンタルクリニック

メールでのお問い合わせ

03-3259-3854


【診療時間】10:00~13:00/14:00~19:00  【休診】不定休

保険で白い歯を。CAD/CAM冠・CAD/CAMインレー治療

    銀歯に違和感を感じていませんか?

    御茶ノ水デンタルクリニックで、保険で白い歯を

    治療を終えたはずなのに、

    「笑ったときに銀歯が見えるのが気になる」
    「できれば白い歯にしたかった」

    そう感じた経験はありませんか?
    一方で、

    「白い歯=自費治療で高額になる」

    というイメージから、選択肢として諦めてしまう方も少なくありません。
    現在の歯科医療では、条件を満たせば保険診療の範囲内でも白い歯にできる治療があります。
    それがCAD/CAM冠・CAD/CAMインレーです。

     

    CAD/CAM冠・CAD/CAMインレーとは

    御茶ノ水デンタルクリニックで、保険で白い歯を

    CAD/CAMとは、Computer Aided Design / Computer Aided Manufacturingの略で、デジタル技術を用いて補綴物(被せ物・詰め物)を設計・製作する治療方法です。
    従来は、粘土のような材料で歯型を取り、石膏模型を作っていました。
    CAD/CAM治療では、口腔内スキャナーでお口の中を直接読み取り、コンピューター上で歯の形や噛み合わせを設計し、専用機器で精密に作製します。

    この技術により、

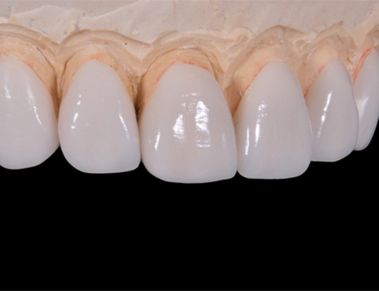
    白く自然な見た目

    一定の精度が保たれた補綴物

    型取り時の不快感の軽減

    といった特徴が生まれました。

     

    保険適用でできる「白い歯治療」

    御茶ノ水デンタルクリニックで、保険で白い歯を

    CAD/CAM冠・CAD/CAMインレーは、すべての歯・すべての症例に適応できるわけではありませんが、条件を満たす場合には保険診療として行うことができます。
    素材はハイブリッドレジンと呼ばれる、セラミック成分を含んだ白い材料です。

    従来の銀歯と比較すると、

    見た目が自然で目立ちにくい

    金属を使用しないため、金属アレルギーのリスクが低い

    保険適用で費用を抑えられる


    といったメリットがあります。

     

    「どこで受けても同じ」ではありません

    御茶ノ水デンタルクリニックで、保険で白い歯を

    CAD/CAM治療は、

    「保険だから簡易的」
    「どこでも同じ」

    と思われがちですが、実際には医院ごとの差が出やすい治療です。

    スキャナーでどこまで正確に読み取れているか

    噛み合わせをどう設計しているか

    補綴物を入れた後の調整をどこまで行うか


    これらは、担当する歯科医師の知識と経験に大きく左右されます。

     

    御茶ノ水デンタルクリニックのCAD/CAM治療

    当院では、単に「白い歯を入れる」ことを目的にするのではなく、

    噛み合わせのバランス

    周囲の歯との調和

    長期的に安定して使えるか


    を重視したCAD/CAM治療を行っています。
    口腔内スキャナーを用いたデジタルデータを活かし、一人ひとりのお口の状態に合わせた設計を行います。

    また、

    「この歯はCAD/CAMが本当に適しているのか」
    「自費治療との違いは何か」

    といった点についても、必ず事前に丁寧にご説明します。

     

    こんな方におすすめです

    銀歯の見た目が気になっている

    保険の範囲で、できるだけ自然な歯にしたい

    精度や説明を重視して治療を受けたい

    仕事や人前で口元の印象が気になる


     

    最後に

    CAD/CAM冠・CAD/CAMインレーは、「保険」と「見た目・機能」のバランスを考えたい方にとって、有力な選択肢です。
    すべての方に最適な治療ではありませんが、適切に選択・設計することで、満足度の高い結果につながります。
    ご自身に合った治療かどうか、まずはお気軽にご相談ください。

     

    自費セラミック治療との違いについて

    御茶ノ水デンタルクリニックで、保険で白い歯を

    CAD/CAM治療と自費のセラミック治療は、何が違うのですか?

    これは非常によくいただく質問です。

    結論から言うと、どちらが良い・悪いではなく、目的と条件によって選択が変わります。

     

    CAD/CAM冠・インレー(保険診療)の特徴

    保険適用で費用を抑えられる

    白く自然な見た目

    一定の精度を保ったデジタル設計

    条件を満たした歯のみ適応


    一方で、

    強い噛み合わせがかかる部位では制限があるv

    色調や透明感の再現性は自費セラミックに劣る

    長期的な耐久性には個人差がある


    といった点も理解しておく必要があります。

     

    自費セラミック治療の特徴

    御茶ノ水デンタルクリニックで、保険で白い歯を

    色・透明感・質感の再現性が非常に高いv

    強度・耐久性に優れる素材を選択できる

    噛み合わせ・形態をより細かく設計可能

    対応できる症例の幅が広い


    その反面、

    保険適用外のため費用がかかる

    必ずしもすべての方に必要な治療ではない


    という側面もあります。

     

    御茶ノ水デンタルクリニックの考え方

    当院では、

    「まずは保険でできる選択肢を知っていただくこと」

    を大切にしています。

    そのうえで、

    見た目をどこまで重視したいか

    噛み合わせや歯の状態

    長期的な安定性


    を総合的に判断し、CAD/CAMが適しているのか、自費セラミックが適しているのかを一緒に考えます。

    無理に自費治療をおすすめすることはありません。
    それぞれの違いを理解したうえで、納得して選んでいただくことが重要だと考えています。


     

    よくある質問(FAQ)

    QCAD/CAMの歯はすぐ割れませんか?
    A噛み合わせや使用部位によってリスクは異なります。
    当院では、割れやすい条件がある場合は事前に必ずお伝えし、別の選択肢をご提案します。
    Q銀歯よりも長持ちしますか?
    A一概には言えません。
    ただし、適切な設計と噛み合わせ調整を行うことで、安定して使えるケースも多くあります。
    Q見た目はどのくらい自然ですか?
    A保険治療の中では自然な白さですが、色や透明感を細かく再現したい場合は自費セラミックの方が優れています。
    Qどの歯でもCAD/CAMにできますか?
    Aいいえ。
    歯の位置、噛む力、残っている歯の量などによって適応できない場合があります。
    Q 型取りは苦しくありませんか?
    A口腔内スキャナーを使用するため、従来の型取りに比べて負担は少ないと感じる方が多いです。
    Q保険か自費か、相談してから決められますか?
    Aもちろん可能です。
    それぞれのメリット・デメリットを説明したうえで、無理に決めていただくことはありません。

     


TOP